-

“啊啊?我没听清,你说什么呀?” 孩子出现这种情况可能是分泌性中耳炎的早期预警了

2022-05-05
在耳鼻喉科的门诊上,我们常常会碰到这样的孩子:在喊孩子的时候叫他好几声不回应,即便是回应了,也可能是歪着头,侧着耳朵问:“妈妈/爸爸你说啥呀、我没有听清,能不能大声点,或者再说一遍”;看电视的时候也把音量调到很大,吵得大家都不得安宁。像这种平时说话很好,却出现听不好,变得“不听话”的孩子,耳朵不疼、不痒、不流脓,大的孩子可能会描述耳朵里有声音,耳朵闷,像是塞了棉花或者进了水一样。这些情况都反映孩子可能患有分泌性中耳炎了,需要来医院做相应的检查了。

图片

(图片来自网络)
















图片


说起分泌性中耳炎又名渗出性中耳炎、卡他性中耳炎、浆液性中耳炎、中耳积液、非化脓性中耳炎、胶耳,是以鼓室积液及传导性耳聋为主要特征的中耳非化脓性炎性疾病。

















分泌性中耳炎可分为急性和慢性两种。慢性可因急性期未得到及时与恰当的治疗,或急性反复发作,迁延而来。本病冬春季多发。是小儿常见的耳鼻喉科疾病之一。病因主要与咽鼓管功能障碍、感染和免疫反应等有关。由以上病变导致中耳腔内负压,中耳粘膜静脉扩张、瘀血、血管壁通透性增强,鼓室内出现漏出液。粘膜上皮细胞化生,杯状细胞增多,分泌增加。中耳积液=漏出液+渗出液+分泌液。早期为浆液性,后期为粘液性。“胶耳”积液甚为粘稠,呈灰白或棕黄色,含大量高分子糖蛋白及核蛋白,呈胶胨状。

图片

1中耳积液呈胶东状,粘稠,扯不断

















另外,分泌性中耳炎对孩子最大的伤害是听力减退,自听增强,自己说话的时候觉得声音大,和别人交流的时候自己不敢大声说,生怕吵到别人,而别人说话声音很高的时候,仍觉得对方声音不够大,要求重说或者大声说。个别孩子头位前倾或偏向健侧时,因积液离开蜗窗,听力可暂时改善;积液粘稠时,听力可不因头位变动而改变。小的孩子常因对声音反应迟钝,注意力不集中而就诊;大的孩子能表述耳内闭塞或闷胀感,像是糊了一层膜;在打呵欠、擤鼻涕的时候耳内可出现气过水声。














因此,对于分泌性中耳炎的孩子除了详细的询问病史外,还要给孩子做相应的检查。
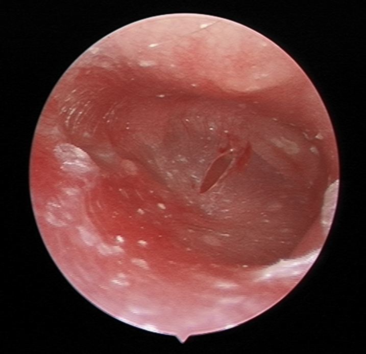
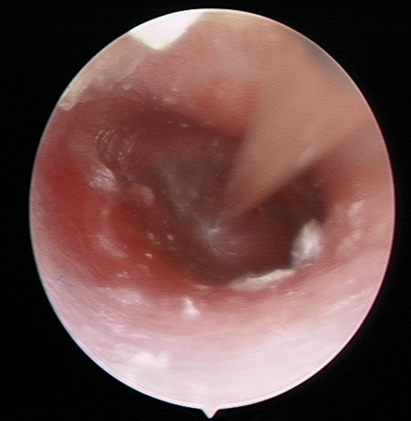
在体格检查时,可能会看到鼓膜内陷,鼓室积液时鼓膜呈毛玻璃样。黄、橙红油亮或琥珀色,慢性者可呈灰蓝或乳白色。浆液性者可透过鼓膜见到液平面。咽鼓管吹张后气泡可增多。

图片

2分泌性中耳炎内镜检查显示鼓膜内陷,光锥缩短。

图片

3分泌性中耳炎内镜检查显示鼓膜内陷,橙红油亮。

行听力检查时,可表现为低频传导性听力损失,重者可达50dBHL左右。声导抗图对诊断有重要价值,平坦型(B型)为分泌性中耳炎的典型曲线。

图片

4 分泌性中耳炎,听力损失呈传导性,右耳听阈55,左耳听阈56分贝。骨导听力正常。

根据病史和临床表现以及辅助检查,分泌性中耳炎就比较容易诊断了,接下来就是治疗了。清除中耳积液,改善中耳通气引流及病因治疗为本病的治疗原则。90%以上的分泌性中耳炎保守治疗都能治愈,若经过正规的保守治疗3月以上无效者,可以行手术治疗,可以做鼓膜穿刺、鼓膜切开、鼓室置管术等。

图片

5鼓膜切开术,在鼓膜的紧张部做切口,切开鼓膜,排出积液

图片

6 鼓膜置管术,先行鼓膜切开,在切口处植入通气管,改善鼓室通气。


摘自 济南市儿童医院

分享